.gif)
A)神経内科と間違われやすい診療科について:
1)精神科・精神神経科との違いは?
精神科、もしくは精神神経科は主に心の病を扱う科です。 いわゆる精神病(分裂病、躁鬱病)をはじめ、ストレスによるノイロ−ゼ、心身症、不眠症等です。 これらは現代の医学では通常、大脳・神経系に種々の検査(CT・MRI・脳血管撮影・脳波・SPECT・筋電図・血液)及び神経学的診察上明らかな異常を認められないものです。 これに対して神経内科では神経系(大脳・小脳・脊髄・末梢神経・筋肉)に炎症、変性、腫瘍、血管障害、代謝・ホルモン等の異常により生ずる病気を扱います。 すなわち病気としては、脳卒中(脳梗塞・脳出血・脳塞栓)、脳炎、てんかん、脊椎椎間板ヘルニア等による脊髄の障害、パ−キンソン病、脳・脊髄腫瘍の診断、多発性筋炎、筋ジストロフィ−症、多発性神経炎等々です。 神経内科領域の個々の病名の詳細については、別のペ−ジで説明する予定です。
心療内科もまだ、神経内科と同様あまり一般に知られていない診療科と思われます。心療内科はストレスと関連する病気(心身症)を扱います。 病気の発症過程に心理・社会的要素による、種々のストレスが深く関与して生じる内科的病気(胃潰瘍、喘息、狭心症、高血圧症など)を治療します。精神科との違いは、精神的な問題が不安などの形で心理的な心の面に強く現れれば、精神科の病気となりますが、動悸(心臓がドキドキ打つ)がしたり、お腹の具合が悪くなったり(下痢・腹痛)、高血圧、喘息など身体の方(内科的病気)に強くでれば心療内科と考えられます。
・脳外科・脳神経外科:
神経内科と同様神経系に生じる病気を扱います。 神経内科との違いは、外科であり主に脳(脊髄)の手術を行う病気を対象としている点です。すなわち脳・脊髄腫瘍、くも膜下出血の原因となる脳動脈瘤、慢性硬膜下血腫に対しての手術、脳外傷後の処置などです。 神経内科はこれらの診断をし、手術等必要な疾患に対しては脳外科を紹介する事となります。 また脳神経以外の末梢神経(脊髄から出ている)の疾患(多発性神経炎・ギランバレ−症候群など)や骨格筋などの病気(多発性筋炎・筋ジストロフィ−症など)は脳外科の主な対象ではなく、神経内科領域となります。ただ頭痛、脳梗塞の診断・治療等、脳外科、神経内科ともに扱う病気が多いのも事実です。
・整形外科:
腰痛、手足のしびれ、麻痺等症状として来院される場合、整形なのか、神経内科なのかが問題となる事もあります。 ただ整形外科は四肢・手・足・肩・腰の骨、関節、背骨の病気を主に診る診療科です。 これら骨及び関節の異常が原因で生じる痛み、麻痺など(股関節症による腰痛、慢性関節リュ−マチ)を対象とします。 ただ原因が骨が原因でのしびれなのか、末梢神経炎などが原因なのかは一般の方には分かりにくいと思われますので、神経内科を受診されて、その後整形外科を紹介されても良いかと思います。 ただ関節の変形、炎症、脱臼などの原因が明らかな場合は初めから整形外科を受診される方が、時間の無駄にならないと思います。
・耳鼻咽喉科:
関連する症状としてめまい、耳鳴り、難聴、声のかすれ、嚥下障害などあります。めまい・耳鳴り・難聴の起こる原因として内耳(三半規管・鼓膜)の異常など耳鼻科領域のものと、脳幹(脳の一部)の障害、前庭・聴神経(脳神経の一部)の障害で生じるもの等あります。 声のかすれは声帯の異常(炎症・浮腫)で生じる事があり、耳鼻科での精査も必要です。 嚥下障害は神経内科の病気(脳幹の障害、脳梗塞、パ−キンソン病などの変性疾患の部分症状)で生じる事も多いのですが、食道、咽頭・喉頭部の異常で生じることもあり、この場合は耳鼻科領域となります。 いずれにせよ、これらの症状で神経内科を受診された場合は必要に応じ、耳鼻科に紹介させて頂ます。
視力障害も眼科領域と、重なる面があります。 単に屈折異常(近視、遠視、老眼、乱視)が原因で見えにくい場合は眼科領域です。また、白内障、緑内障、網膜、水晶体等の障害での視力低下も眼科です。 神経内科での視力障害とは、複視(物が二重に見える)・眼瞼下垂・球後視神経炎(眼球に行っている視神経の炎症)・視野の異常(右又は、左半分が見えない等)等です。これらは、脳神経のうち眼球運動に関係している脳神経、後頭葉、視神経、脳幹、外眼筋、神経筋接合部(重症筋無力症)の障害等で生じます。 単純にいえば、眼球自体の異常は眼科、大脳、脳幹、脳神経、神経筋接合部、外眼筋等の病変で生じた視力障害、病気は主に神経内科です。
神経内科では、1.中枢神経、 2.末梢神経、 3.神経筋接合部及び、4.骨格筋に生じた病気を取り扱います。
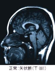
中枢神経とは下図の如く、脳(大脳・小脳・脳幹)・脊髄よりなります。
人の脳・脊髄の模式図 人の脳のMRI画像
2.末梢神経:
末梢神経は脳幹・脊髄にある神経細胞から発する、又はこれらに入る神経線維の束とこれらを取り囲む結合組織・栄養血管よりなる。 脳幹より出ている神経線維を脳神経、脊髄より出ている神経線維を脊髄神経と言う。 機能の面からは、骨格筋に神経終末(末梢神経の最遠端部)を送り筋肉の運動に関与する運動神経、皮膚・骨格筋等にある感覚受容器(痛覚・触覚・位置覚・振動覚及び筋固有感覚の刺激を受け取る為に特殊に分化した神経の構造)より刺激が伝わる感覚神経、心臓.胃・肺等の内臓器官・血管・皮膚を支配する自律神経に分類される。
運動神経の終末分枝とそれに支配される骨格筋が接する部分は神経筋接合部(又は運動終板)と呼ばれる。 運動神経の終末分枝は筋線維の浅いくぼみ(シナップス溝)に入り込んでいる。 神経終末と筋線維の細胞膜は、シナップス間隙と呼ばれる狭い間隙により隔てられている。 運動神経に刺激が行くと神経細胞から神経線維を伝わり、神経終末よりこのシナップス間隙に神経伝達物質(アセチルコリン)が遊離され筋線維に刺激が伝達される。 その結果、筋線維は収縮し、いわゆる”力”を出す事が出来る(下図)。
すべての身体の運動は骨格筋によって行われる。筋の働きは力を出させること、運動を可能にする事、及び目的に応じて身体の一部を固定する事である。 骨格筋の基本単位は骨格筋線維であり、細長い多核の円柱状の細胞である。これは通常、数oから数pに及び、これらの筋線維は同一方向に平行に走行し、多数集合し筋線維束となる。 さらに筋線維束は多数集合し筋全体を構成する。 筋組織は神経学的検査においても脱力・萎縮・肥大等、変化が最も直接的に検者に評価される部分であり、その意味でも重要である。